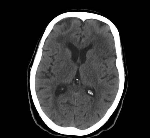
Beyin Tomografisi Nedir?
Beyin tomografisi (Beyin BT), beynin kesitsel görüntülerini elde etmek için kullanılan hızlı ve etkili bir görüntüleme yöntemidir. Özellikle acil durumlarda tercih edilir.
Hangi Durumlarda Yapılır?
Kafa travması
İnme (felç)
Beyin kanaması
Şiddetli baş ağrısı
Bilinç kaybı
Tümör şüphesi
Beyin Tomografisi Ne Gösterir?
Beyin Kanaması
Acil durumlarda en hızlı tanı koyan yöntemdir.
İnme
Erken dönemde hayati bilgi verir.
Tümörler
Kitlelerin varlığı tespit…
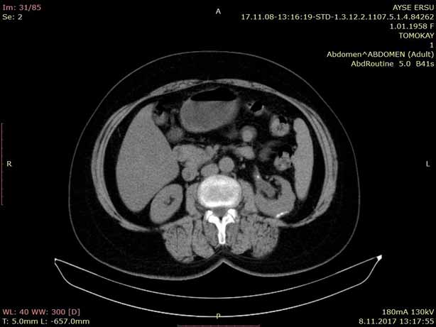
Bursa’da ilaçlı tomografi (kontrastlı BT) çektirmeyi düşünen hastaların en çok merak ettiği
konulardan biri ilaçlı tomografi yan etkileridir. Kontrastlı bilgisayarlı tomografi (BT), damar
yoluyla verilen kontrast madde sayesinde organların, damarların ve dokuların daha net
görüntülenmesini sağlayan ileri bir radyolojik görüntüleme yöntemidir.
Bursa’daki merkezimizde ilaçlı tomografi işlemleri, hasta güvenliği ön planda tutularak
modern BT cihazları ile gerçekleştirilmektedir.
İlaçlı Tomografi (Kontrastlı BT) Nedir?
İlaçlı…
