Kadın sağlığı denildiğinde akla gelen en önemli bölgelerden biri pelvik bölgedir. Rahim, yumurtalıklar, tüpler ve mesaneyi kapsayan bu bölgedeki sorunlar, bazen rutin bir muayene veya ultrasonla tam olarak anlaşılamayabilir. İşte bu noktada Pelvik MR (Manyetik Rezonans), sunduğu yüksek çözünürlüklü görüntülerle modern tıbbın en güçlü teşhis araçlarından biri olarak devreye girer.
Peki, Pelvik MR nedir ve kadın hastalıklarının teşhisinde neden bu kadar önemlidir?
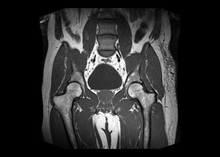
Pelvik MR Nedir?
Pelvik MR, güçlü manyetik alanlar ve radyo dalgaları kullanarak alt karın bölgesinin detaylı kesitlerini oluşturan, radyasyon içermeyen bir görüntüleme yöntemidir. Yumuşak dokuları görüntülemedeki başarısı sayesinde, rahim ve yumurtalık yapısını milimetrik hassasiyetle incelememize olanak tanır.
Pelvik MR Hangi Durumlarda İstenir?
Doktorunuz, fiziksel muayene veya ultrasonda saptanan şüpheli bir durumu netleştirmek ya da aşağıdaki belirtilerin kaynağını bulmak için Pelvik MR isteyebilir:
- Miyom ve Polip Takibi: Rahim içerisindeki miyomların yerini, sayısını ve boyutunu netleştirerek cerrahi planlamaya yardımcı olur.
- Çikolata Kistleri (Endometriozis): Endometriozis odaklarının derinliğini ve yayılımını belirlemede en güvenilir yöntemdir.
- Yumurtalık (Over) Kistleri: Kistlerin iyi huylu mu yoksa riskli mi olduğu konusunda detaylı bilgi verir.
- Anormal Kanama Nedenleri: Şiddetli veya düzensiz kanamaların doku kaynaklı nedenlerini araştırır.
- Onkolojik Tarama: Rahim veya rahim ağzı kanseri şüphesi durumunda tümörün evrelenmesinde kullanılır.
Neden Ultrason Değil de MR?
Ultrason, pelvik bölge için harika bir ilk adım olsa da bazı sınırlamaları vardır. Pelvik MR’ın sağladığı avantajlar şunlardır:
- Daha Geniş Görüş Alanı: Sadece ilgili organı değil, çevredeki lenf nodlarını ve komşu dokuları da görüntüler.
- Doku Karakterizasyonu: Bir kitlenin yağ mı, sıvı mı yoksa kan mı içerdiğini ayırt edebilir.
- Netlik: Bağırsak gazları veya vücut yapısı nedeniyle ultrasonun görüntü alamadığı durumlarda net sonuç verir.
Pelvik MR Çekimi Öncesi Hazırlık
Tomokay Görüntüleme Merkezi’nde konforlu bir deneyim yaşamanız için bilmeniz gerekenler:
- Metal Eşyalar: Güçlü bir mıknatıs ortamına gireceğiniz için üzerinizde takı, toka veya metal fermuar bulunmamalıdır.
- Açlık Durumu: Genellikle tam açlık gerekmez ancak net görüntü için çekimden 4-6 saat önce hafif beslenmek önerilebilir.
- Radyasyon Yok: MR çekiminde X-ışını kullanılmaz; bu nedenle işlem sonrasında günlük hayatınıza hemen dönebilirsiniz.
Sağlığınızı Tomokay ile Güvenceye Alın
Kadın hastalıklarında doğru tanı, doğru tedavinin yarısıdır. Tomokay Görüntüleme Merkezi’nde, yeni nesil MR cihazlarımız ve kadın sağlığı konusunda deneyimli radyoloji uzmanlarımızla pelvis bölgesindeki tüm detayları titizlikle inceliyoruz.
Ağrılı adet dönemleri, açıklanamayan pelvik ağrılar veya rutin kontrolleriniz için uzman görüşüne başvurmayı ihmal etmeyin.
Kadınlarda Pelvik MR hakkında detaylı bilgi ve randevu için tıklayın

